Accessible Version
Robert C. Clay, Jr., DDS, Ltd.

Smile Gallery

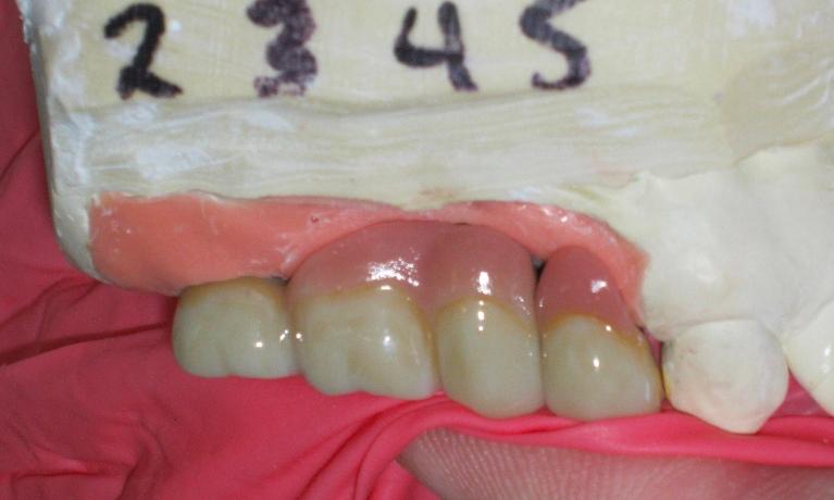
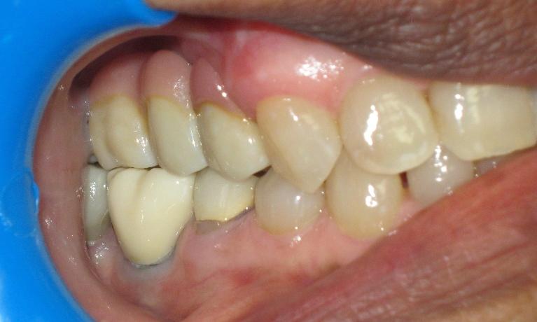
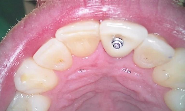
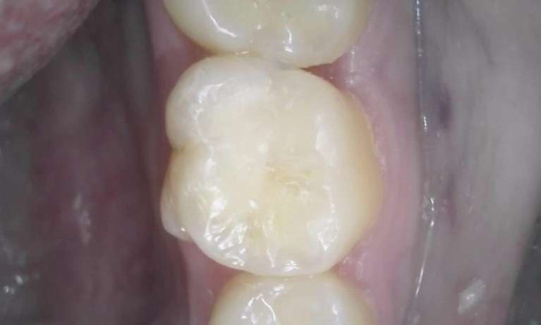
We take great pride in the services we perform in our office. We always try to not only meet your expectations, but we also try to exceed them. There are many types of services that we perform in our office, as well as others that we perform in coordination with highly skilled specialists. We have compiled a few examples of the treatments that we have performed. We are proud to say that these are the usual results our patients expect to see.

The photos are not retouched, nor are they taken by a professional photographer. These are just the routine treatment photos that we take and the results that we see every day. They are by no means a comprehensive catalog of the procedures that we perform. They are just a small sample of some of the results you can expect when you seek treatment in our office.

Please feel free to browse through them, and as always, if you have any questions about the photos, or any treatments you don’t see here, give us a call, or send us an email, and we will be more than happy to answer any questions you may have.

Ready to book an appointment?
If you have difficulty using our website, please email us or call us at (708) 448-0273
View the ADA Accessibility Statement
Privacy Policy