Accessible Version
Robert C. Clay, Jr., DDS, Ltd.

Teeth Cleaning

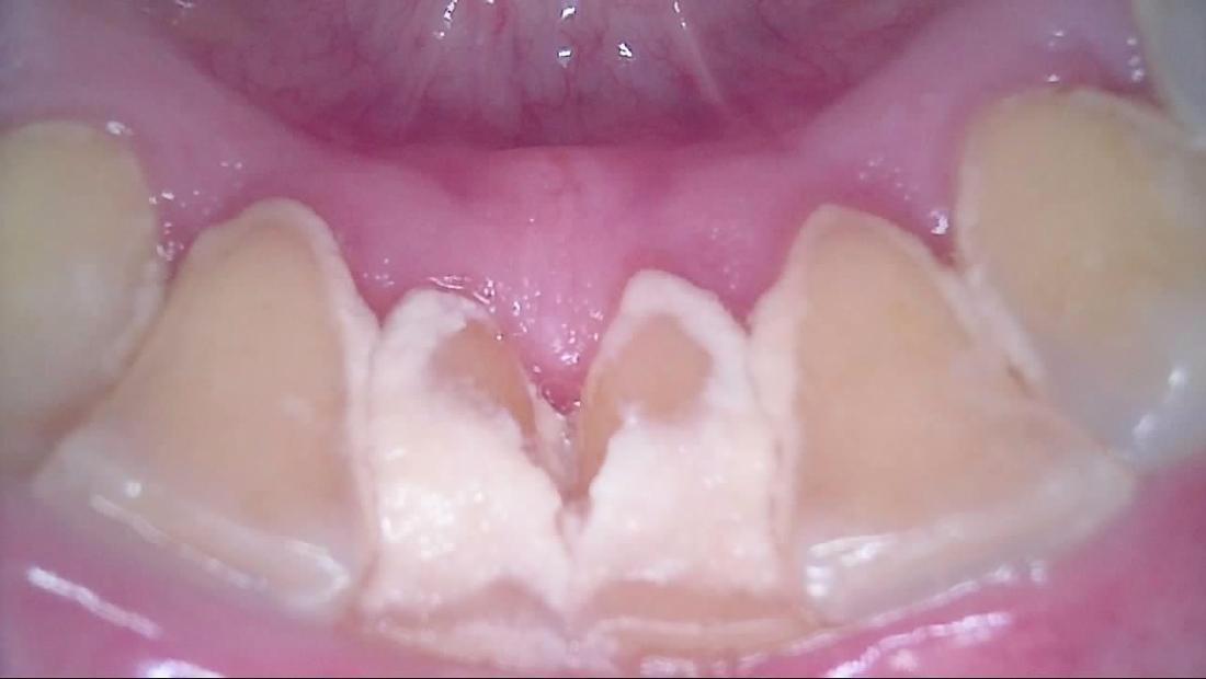
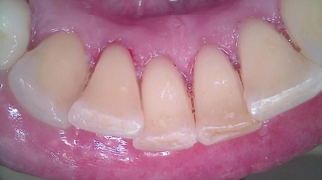
When we clean your teeth, we are removing buildups of calculus.tartar as well as buildups of plaque bacteria on your teeth. Here is a before an after example of a cleaning taken ten minutes apart. After a cleaning, your gum tissues are ready for your home care to help them to become much healthier in the future.
Ready to book an appointment?
If you have difficulty using our website, please email us or call us at (708) 448-0273
View the ADA Accessibility Statement